診療項目

一般診療

いわゆる国民健康保険や社会保険、後期高齢者医療制度などによりまかなえる、保険適応の歯科治療のことです。
小さなお子さんのシーラント(予防填塞)から、一般的な削る、詰める、被せるといった虫歯治療、成人の歯周病治療、そして義歯まで、多岐にわたり口腔内環境の改善に努めます。
一般診療

訪問診療

通院することが困難になってしまった。入れ歯が壊れてしまったけれど、様々な事情で通えない。
こういった患者さんのご自宅に伺い、歯科治療(抜歯など外科処置を除く)や口腔衛生状態の改善をさせていただきます。
訪問診療

インプラント

何らかの理由で失ってしまった歯の代わりに、チタン製の人工歯根を顎の骨に埋め込み、その上に歯の形をした被せものを付けて、口腔機能を回復させる治療法です。
使用するチタンは、人工股関節などにも使用され、生体親和性に優れているため、金属アレルギーの方にもほぼ安心して使用していただけます。

2001年より導入して、350症例以上の研鑽を積んでいますので、安心してご相談ください。
インプラント
インプラント
¥198,000/本
上部構造(被せ物)
¥110,000(ジルコニア、オールセラミクス、メタルボンド)/本
顎の骨の量が不足している場合に、骨量を増やす為にアパタイトと呼ばれる人工的なカルシウム顆粒を使います。
¥22,000(一部位につき)
※表示価格は税込み価格です。

金属床義歯

上顎の場合:上あごを広範囲に覆う部分が薄い金属のプレートになります。この為、舌触りが良くなる、熱いものは熱く冷たいものは冷たく感じられる、違和感が少なく話しやすいなどのメリットがあります。

下顎の場合:下あごの左と右の両側に欠損(歯の無い部分)がある場合、左右を結ぶ金属のバーが薄くなります。これにより、舌感が良くなる、発音しやすくなる、強度が上がり咬み合わせ時に変形しづらくなるなどのメリットがあります。
金属床義歯
料金
¥385,000/床
※表示価格は税込み価格です。

ノンクラスプデンチャー

義歯(入れ歯)に付き物のクラスプ(金属のバネ)は、義歯をお口の中に固定する為に必要な物なのですが、口元から見えると審美的にはマイナスのイメージです。
この金属のクラスプを使用しない義歯が、ノンクラスプデンチャーです。クラスプの代わりにフレームと呼ばれる義歯の本体が、優しく歯を包み込んで維持してくれます。審美性、装着感ともに、保険の義歯より優れています。
ノンクラスプデンチャー
料金
¥176,000~/床
※表示価格は税込み価格です。

ホワイトニング

歯の表面についたステインや歯垢、歯石は、機械的に除去することができますが、歯自体の色を落とすことは出来ません。この歯の色を、歯を削ることなく白くする方法がホワイトニングです。

薬剤とシステムをリニューアル!!

炭酸塩を使った新しい薬剤→・しみない痛くない ・確実に白くなる  ※どちらも個人差はあります

基本的にチェアサイドでのオフィスホワイトニングとなります。
30,000円(税込)/1回(10分×3)
詳細はお電話もしくは医院にて。
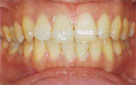
審美歯科
Before
Before
Before
After
After
After
診療中
診療中
診療中
片顎
¥33,000
上下顎
¥55,000
トレー代
¥11,000
※表示価格は税込み価格です。

クリーニングプロ EX

特にスマイルラインで口元から見える部分(犬歯~犬歯間)を重点的にクリーンアップします。
歯石除去及び、数種類の研磨剤を使用した歯冠研磨までをセットとして行います。
クリーニングプロ EX
¥5,000(税込) 30分 要予約

ハイブリッドセラミクス

セラミックと、硬いレジンと呼ばれるプラスチックの混合材料です。
オールセラミクスに比べると、レジンが混入している分強度が落ちるので、やや耐久性に劣ります。
ハイブリッドセラミクス
料金
¥55,000/本
※表示価格は税込み価格です。

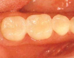
セラミックインレー

保険で治した部分的な銀歯を白くしたい時に使います。
セラミックインレー
Before
Before
Before
After
After
After
料金
¥44,000/本
※表示価格は税込み価格です。

メタルボンド(金属焼付陶材冠)

ひと昔前の保険のきかない白い歯と言えばこれの事でした。
金属の薄いキャップを作り、その表面にセラミックを七宝焼きのように焼き付けることで、自然な感じに歯を治すことが出来ます。
ただ、表面に金属色があるのでそれをマスキングする(隠す)為に、どうしてもセラミックの厚みが制限されます。この為、やや不透明感が出てしまうことは止むをえません。また、裏側に一部金属部分が見えてしまいます。
この点を除けば、保険の被せ物に比べると、質感と審美面は格段に向上します。
メタルボンド(金属焼付陶材冠)
料金
¥88,000/本
※表示価格は税込み価格です。

オールセラミクス

金属を一切使わず、セラミックだけで作製します。セラミック表面のきめが非常に細かく硬い為、着色しにくく、より自然な感じに仕上がります。
金属を使わないことから、金属アレルギーの方にも安心してお使い頂けます。また、歯肉の変色も起こりにくいものとなっています。
オールセラミクス
料金
¥110,000/本
※表示価格は税込み価格です。

ジルコニアクラウン (フルジルコニア セラミクス+ジルコニア)

ベースに人工ダイヤモンドとして知られているジルコニアを使います。硬度、強度に優れていることから、オールセラミクスでは不可能だったブリッジ等もできるようになりました。
表面にセラミクスを焼き付けたものと、ジルコニアのみで作られたものの2種類があります。
フルジルコニア
フルジルコニア
フルジルコニア
セラミクス+ジルコニア
セラミクス+ジルコニア
セラミクス+ジルコニア
料金
¥110,000/本 5年保証
※表示価格は税込み価格です。